Successful TPLO Procedures in Large-Breed Dogs.
23 January 2026
Successful TPLO Procedures in Large-Breed Dogs.
At the Veterinarium Clinic of the Agricultural University of Georgia, TPLO surgery has been successfully performed on 5 additional large-breed canine patients: 2 Caucasian Shepherd mixes, 1 German Shepherd, 1 Pointer, and 1 Cane Corso.
All 5 dogs were diagnosed with a partial rupture of the cranial cruciate ligament (CCL), one of the most common orthopedic conditions in dogs, and presented with grade III lameness.
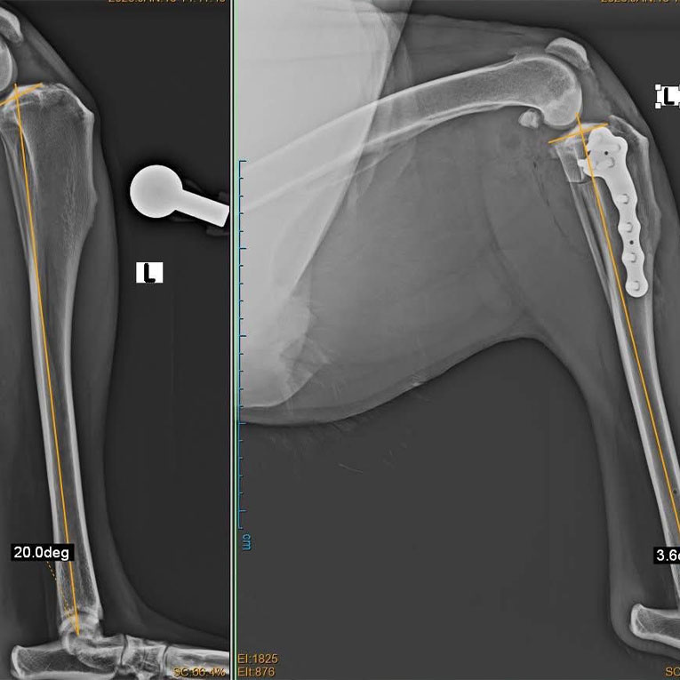
Surgical treatment using Tibial Plateau Leveling Osteotomy (TPLO) is considered one of the most effective and advanced approaches for managing cranial cruciate ligament rupture. Recognized internationally as the gold standard, TPLO has a high success rate of 90–95%, restores stable limb function, and significantly improves the patient’s quality of life.
At Veterinarium, surgical planning is carried out using the licensed vPOP PRO (Veterinary Preoperative Orthopaedic Planning) software by the clinic’s Head Veterinarian, Dr. Lasha-Giorgi Japaridze. This leading global platform enables precise preoperative assessment, including bone measurements, implant selection, and prediction of surgical outcomes, ensuring optimal procedural accuracy.
All five TPLO procedures were performed by Dr. Lasha-Giorgi Japaridze, who has completed advanced specialized training in TPLO surgery (Advanced TPLO – The Next Level) in Bulgaria with the support of the Agricultural University of Georgia. He holds a Master’s degree in Veterinary Medicine and is currently a PhD candidate and lecturer in surgical disciplines at the Agricultural University of Georgia.
Anesthesia was successfully managed by Natia Robakidze, who has completed specialized anesthesia training in Poland, Estonia, and Italy.
To date, a total of 16 TPLO surgeries have been performed at Veterinarium, all with excellent outcomes, resulting in full functional recovery and restored mobility for the patients.
Similar news
24 January 2026
Another Veterinarium team member to complete intensive practical training in Estonia
22 January 2026
Veterinarium Clinic is announcing another important campaign for stray cats
13 January 2026
Veterinarium Clinic is launching a special campaign for stray cats
09 January 2026
Loki’s Complex Clinical Case With a Successful Outcome
08 January 2026