6 თვის ფისო თინას ისტორია
13 დეკემბერი 2025
6 თვის ფისო თინას, სიმაღლიდან გადმოვარდნის შედეგად დაუზიანდა ქვედა ყბა. თავდაპირველად უჭირდა პირის მოძრაობა, მოგვიანებით კი საერთოდ ვეღარ აღებდა პირს.
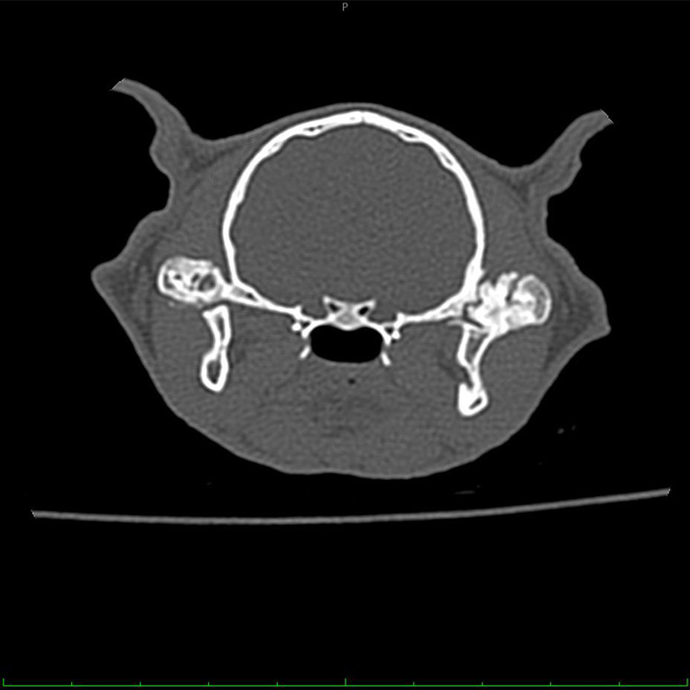
ფისოს ჩაუტარდა კომპიუტერული ტომოგრაფია კახა ბენდუქიძის კამპუსში მდებარე კომპიუტერული ტომოგრაფიის ცენტრში Vet CT • ვეტ სითი-ში. კვლევის შედეგად დადგინდა ორივე საფეთქელ-ქვედა ყბის სახსრის ანკილოზი. ანკილოზი არის მდგომარეობა, როდესაც სახსარში მოძრაობა შეუძლებელია ძვლების სასახსრე ზედაპირების შეზრდის გამო.
10 დეკემბერს ფისოს ვეტერინარიუმში ჩაუტარდა ბილატერალური საფეთქელ-ქვედა ყბის სახსრის რეზექციული ართროპლასტიკა. ოპერაციის მეორე დღიდან ის უკვე თავისუფლად აღებს პირს და დამოუკიდებლად მიირთმევს საკვებს. იმის გამო, რომ პაციენტი ოპერაციამდე პირს ვერ აღებდა, ინტუბაციისთვის საჭირო გახდა დროებითი ტრაქეოსტომია.
რთული ქირურგიული პროცედურა შეასრულა ვეტერინარიუმის ქირურგიის განყოფილების უფროსმა, ლაშა-გიორგი ჯაფარიძემ, ხოლო ანესთეზია წარმატებით მართა კლინიკის ანესთეზიოლოგმა ნათია რობაქიძემ. ქირურგს ასისტირებას უწევდა ლუკა ღლონტი.
პოსტს თან ერთვის კომპიუტერული ტომოგრაფიით მიღებული გამოსახულება.
მსგავსი სიახლეები
22 დეკემბერი 2025
ლაშა-გიორგი ჯაფარიძე უხელმძღვანელებს ვეტერინარიუმის მიმართულებებს
19 დეკემბერი 2025
ნინო ყუშიტაშვილი და გიორგი ლოლაძე ესტონეთში გაივლიან პროფესიულ გადამზადებას
18 დეკემბერი 2025
ბარბარე ქურციკიძე ბუქარესტში გაივლის ESAVS-ის პროგრამას
17 დეკემბერი 2025
ნათია რობაქიძე მონაწილეობას მიიღებს ვეტერინარულ კარდიოლოგიურ მასტერკლასში
12 დეკემბერი 2025